Hoy, miércoles 06 de diciembre de 2.017 en Salud y Bienestar
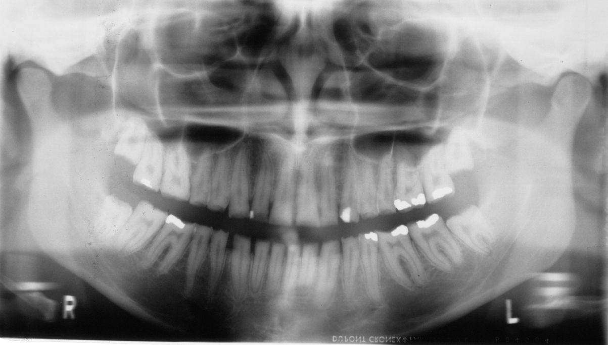
El Dr. Alfredo Natera, odontólogo, director del Centro Venezolano de Investigación Clínica para el Tratamiento de la Fluorosis y Defectos de Esmalte y docente de odontología operatoria en la Universidad Central de Venezuela (UCV), nos habla sobre la amelogénesis imperfecta.








